



受け入れ方針(重要)
当院は、診断(二次精査)目的のご紹介は原則お受けしておりません。
「手術適応が明らか」と先生が診断されている症例の紹介を対象としています。
また、初回来院なしの手術予約は不可で、初回外来での適応判断・説明・スケジュール調整を必須としております。
当院の整形外科手術は提携獣医師が執刀いたします。主な提携獣医師の高瀬先生のご経歴はこちらからご確認ください。
ご紹介症例は基本的に高瀬先生に依頼しますが、スケジュール調整が難しい場合、飼い主様の事前同意のもとで別の提携獣医師に依頼することがあります。ご紹介元の先生へは事後報告となる場合があります。
対応しやすい疾患
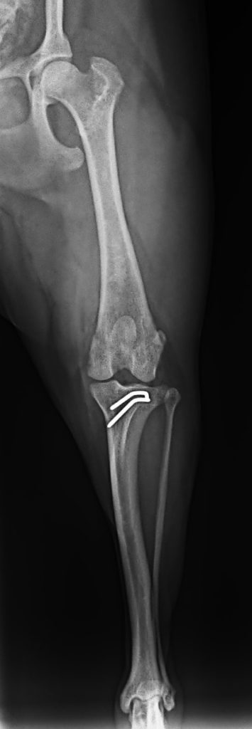
- 膝蓋骨脱臼(パテラ)
- 前十字靱帯断裂(TPLO:脛骨高平部骨切り術)
- 骨折(プレート固定等)
※緊急手術希望(数日以内必須等)の場合は常勤整形医のいる施設をご案内いただく方が確実です。
原則お受けできない/条件付きの領域
当院には CT/MRI/関節鏡がありません。
- 神経疾患疑いは原則不可
※ただし、MRIで病変部位確定+手術適応が明確な場合は相談可 - 肩関節亜脱臼など、治療選択が症例により大きく分かれやすいケースは原則対象外
料金目安
当院での整形外科手術の料金目安は、5kg程度の小型犬の想定で以下の通りです。
術前検査~退院までの想定料金目安です。術後通院費用は含まれません。
・大腿骨頭切除術 25万円前後
・膝蓋骨脱臼整復術 30万円前後
・橈尺骨(前肢)骨折整復術 40万円前後
・TPLO(前十字靭帯断裂に対する脛骨水平化骨切り術) 45万円前後
事前に飼い主様に料金目安のご説明をお願いいたします。
ご紹介時にお願いしたい情報
- 診断名/罹患肢/グレード(可能であれば)
- 病歴(発症時期、外傷歴、経過)
- 既往歴・併存疾患・投薬
- レントゲン画像(DICOMとjpegの両方が望ましいです)
- 血液検査(直近があれば)
- MRI確定例の場合:MRI所見要約、病変部位、神経学的所見の要点
術後管理に関して
術後2週間で抜糸のため当院にご来院いただきます。
その後に関しては、安定化まで当院に通院していただくこともできますし、ご紹介元の先生の動物病院で管理していただいても構いません。
術後レントゲンの読影サービスは実施しておりませんので、術後管理に不安をお持ちの場合は当院にお任せください。
ご紹介方法
まずはお電話でご相談ください。
お電話のご相談で紹介症例が当院に受診することが決まりましたら、紹介状や画像検査データをメール(seikei@hara-ah.org)でお送りください。
飼い主様には、当院飼い主向けの整形外科紹介ページをご案内いただき、受診当日にオンライン受付の上でご来院いただくようにお伝えください。
